Etats-Unis: Un ado enfin libéré de son sexe surdimensionné

  • 13/02/2015
  • Source : 20min.ch
C'est une première mondiale: un chirurgien américain a pratiqué une réduction de pénis sur un jeune homme de 17 ans qui vivait un véritable enfer.

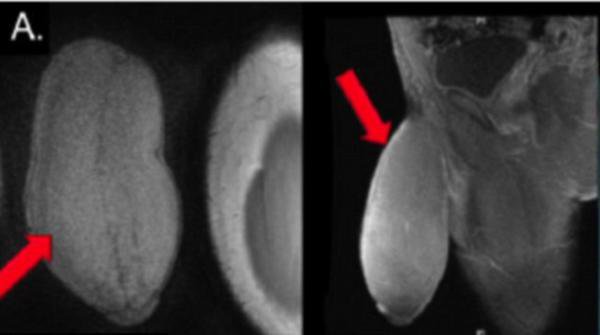
Un chirurgien de l'Université de Floride du Sud a pratiqué la première réduction de pénis au monde. Son patient, âgé de 17 ans, peut désormais vivre normalement après avoir traversé l'enfer: son sexe au repos mesurait 18 centimètres de long et 25 centimètres de circonférence. Le «Daily Mail» explique que l'adolescent avait subi plusieurs épisodes de priapisme: après une érection, sa verge ne retrouvait pas sa flaccidité normale pendant de longues heures. A force, elle avait fini par atteindre des proportions hors du commun.

Cette particularité, devenue un handicap, empêchait l'adolescent de pratiquer du sport de compétition et d'avoir des rapports sexuels convenables. De plus, le jeune homme était constamment mal à l'aise, peinant à cacher l'énormité qu'il abritait sous son pantalon.

Les médecins qui ont eu affaire à l'adolescent ont expliqué que son pénis avait une forme «ressemblant à un ballon de football américain». «Dans la carrière de tout urologue arrive ce moment où un patient pose une question si rare et impossible à appréhender que toutes ses connaissances s'écroulent et le laisse sans voix. Cette question était: «Pouvez-vous rendre mon pénis plus petit?», a raconté Rafael Carrion.

Aucun précédent dans les livres de médecine
Touchés par le désespoir de leur patient, le chirurgien et son équipe se sont plongés dans les livres médicaux mais n'ont pu trouver aucun cas similaire à celui du jeune homme. «Dieu sait qu'il est possible de rendre un sexe plus long et plus large grâce à la chirurgie plastique, mais le contraire est beaucoup plus rare», explique le scientifique.

Finalement, l'équipe a décidé de tenter une technique chirurgicale normalement utilisée pour traiter la maladie de la Peyronie, une sclérose qui provoque une déviation du pénis en érection. L'intervention a été couronnée de succès et deux jours après, l'adolescent a pu rentrer chez lui, ravi de son nouveau pénis. «Il est un peu plus long et un peu plus gros que la moyenne, mais il est symétrique et le patient était très satisfait», assure le Dr Carrion. L'histoire de cette première mondiale a été publiée dans la revue médicale «The Journal of Sexual Medicine».